Displaying 1 - 1 of 1
Dawn's picture

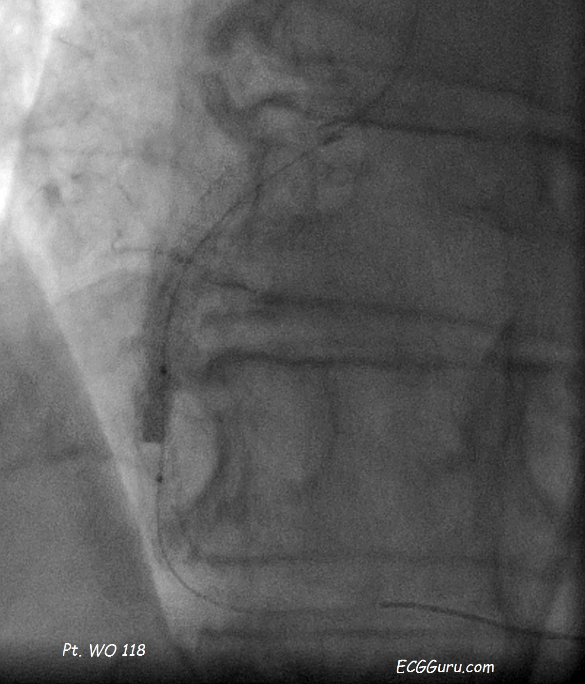
Patient WO 118 - Angioplasty of Right Coronary Artery

Angioplasty images from Patient WO 118, an 83-year-old woman with chest pain and near-syncope.

To see her ECG series, click HERE

All our content is FREE & COPYRIGHT FREE for non-commercial use

Please be courteous and leave any watermark or author attribution on content you reproduce.