Displaying 1 - 1 of 1

Non-dominant Right Coronary Artery In A Patient With A Dominant Circumflex Artery

Click to open: 
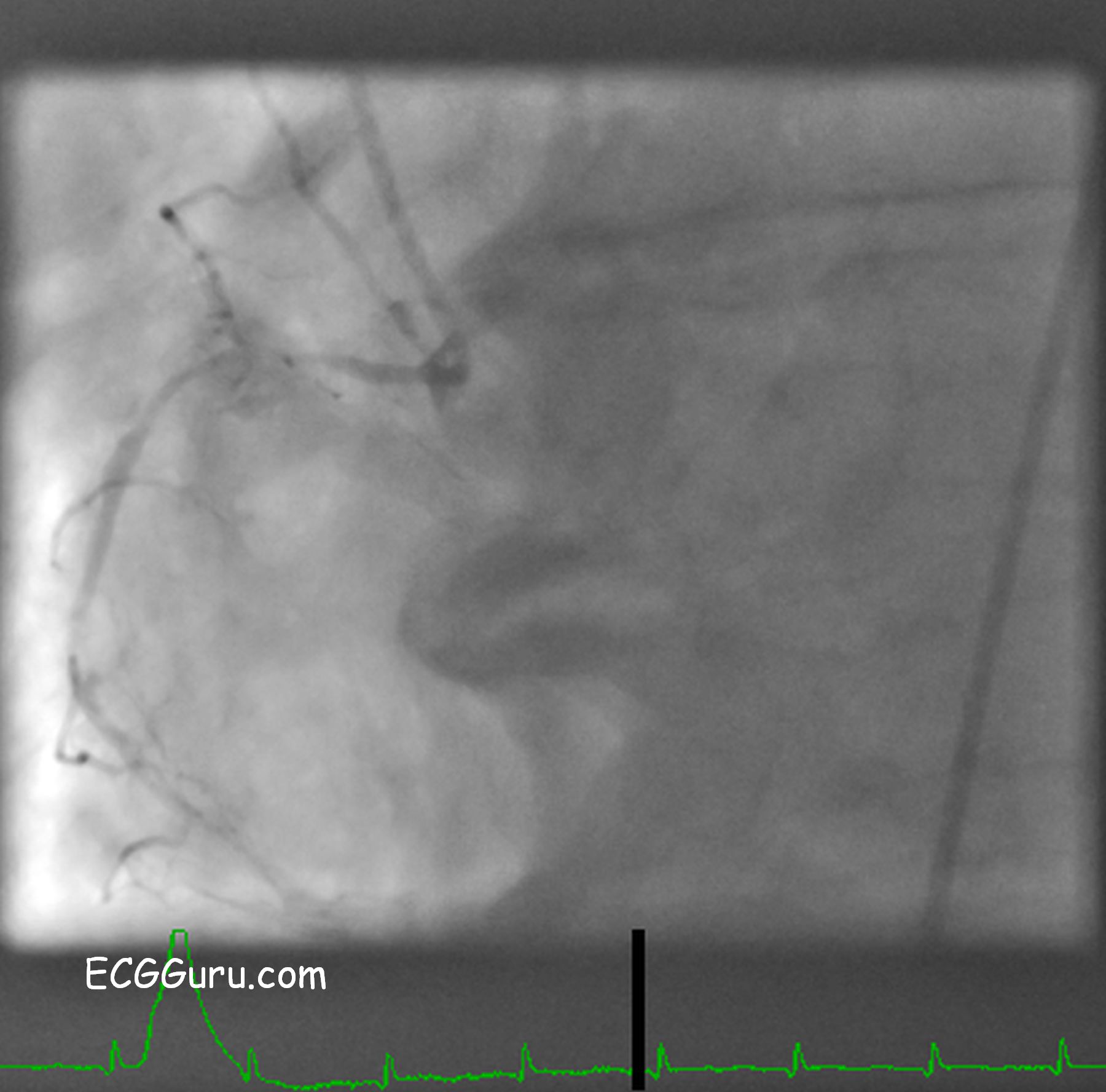
Non-dominant right coronary artery

This is an angiogram of a non-dominant right coronary artery in a patient with a dominant left circumflex artery.  The RCA is very small, compared to the usual.  This patient is one of about 15 - 18% of the population whose circumflex artery perfuses the posterior/nferior wall of the left ventricle.

Click HERE to view the dominant circumflex artery of this patient.

All our content is FREE & COPYRIGHT FREE for non-commercial use

Please be courteous and leave any watermark or author attribution on content you reproduce.