Displaying 1 - 1 of 1

Dominant Circumflex Artery Angiogram

Click to open: 
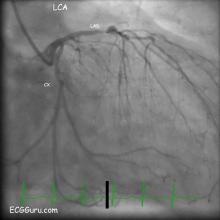
Dominant circumflex artery angiogram

This is an angiogram of a left coronary artery (LCA).  The circumflex artery, labelled CX, is dominant, meaning that it connects to the posterior descending artery and perfuses the posterior and inferior walls of the left ventricle.  Approximately 15-18% of the population has a dominant circumflex artery.  In about 80-85% of people, the right coronary artery (RCA), perfuses the inferior wall.

All our content is FREE & COPYRIGHT FREE for non-commercial use

Please be courteous and leave any watermark or author attribution on content you reproduce.