Dawn's picture

Chest Xray AP

Resource File: 
Category: 
Dawn's picture

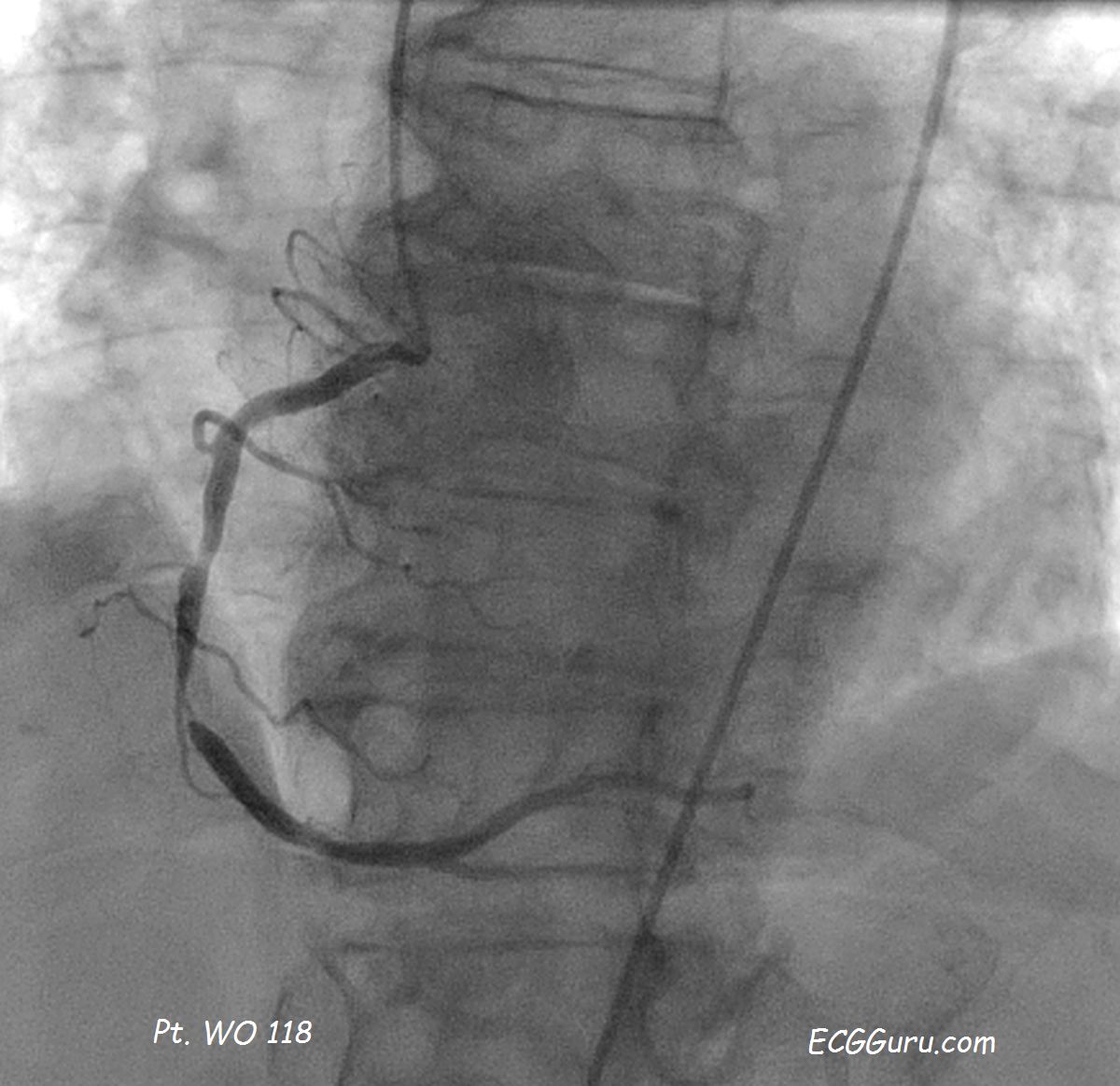
Right Coronary Artery with severe disease

Resource File: 
Category: 
Dawn's picture

Normal Ventriculogram


Category: 

Pages

All our content is FREE & COPYRIGHT FREE for non-commercial use

Please be courteous and leave any watermark or author attribution on content you reproduce.